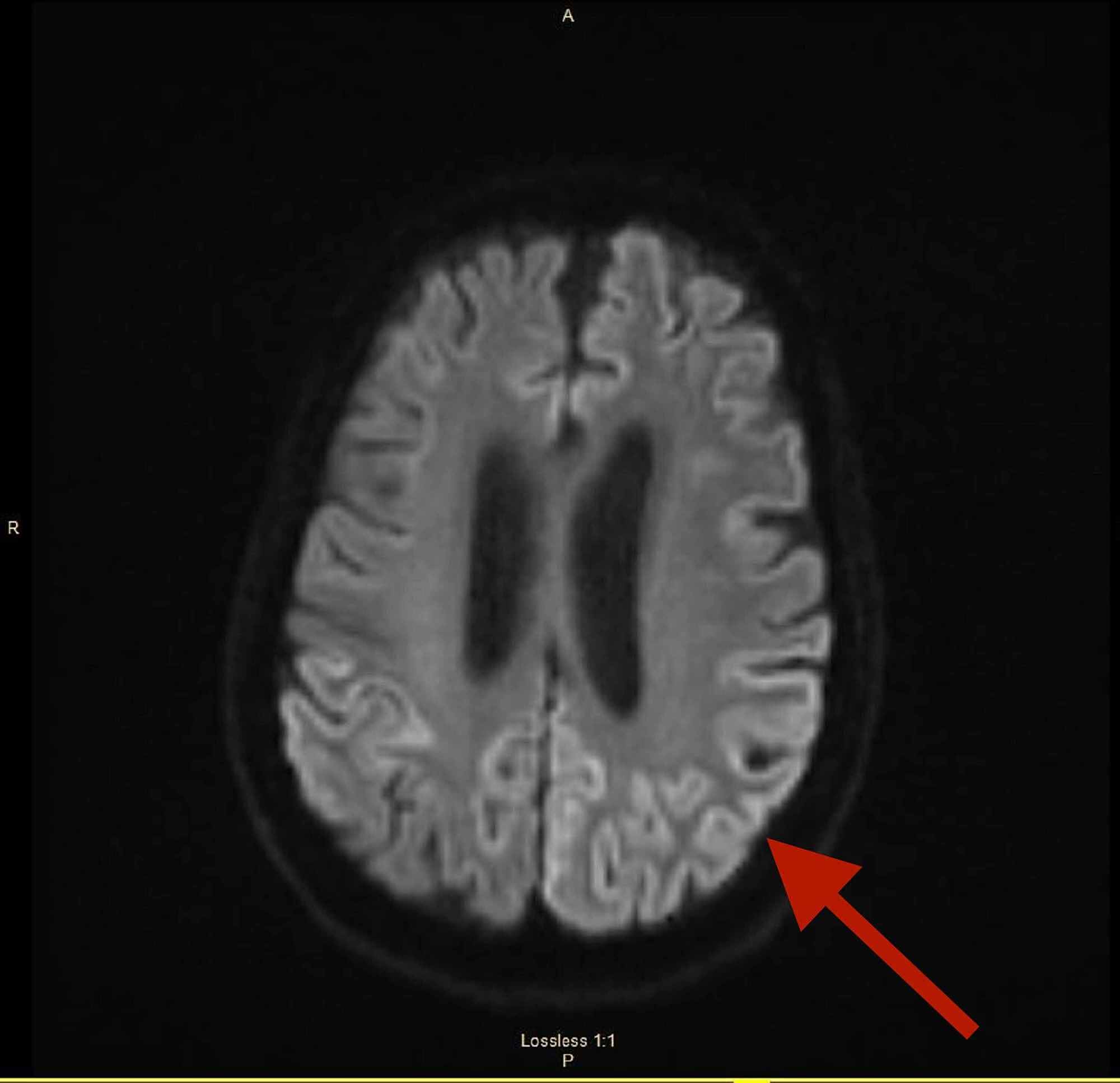
Creutzfeldt Jakob Disease Rad . The clinical syndrome, especially with the rapid cognitive deterioration, the typical mri pattern and. This condition belongs to a group of.
        
         
         
        from www.cureus.com 
     
        
        The clinical syndrome, especially with the rapid cognitive deterioration, the typical mri pattern and. This condition belongs to a group of.
    
    	
            
	
		 
	 
         
    Cureus Imaging Manifestations of CreutzfeldtJakob Disease and Case 
    Creutzfeldt Jakob Disease Rad  The clinical syndrome, especially with the rapid cognitive deterioration, the typical mri pattern and. The clinical syndrome, especially with the rapid cognitive deterioration, the typical mri pattern and. This condition belongs to a group of.
            
	
		 
	 
         
 
    
         
        From pubs.rsna.org 
                    Imaging of CreutzfeldtJakob Disease Imaging Patterns and Their Creutzfeldt Jakob Disease Rad  The clinical syndrome, especially with the rapid cognitive deterioration, the typical mri pattern and. This condition belongs to a group of. Creutzfeldt Jakob Disease Rad.
     
    
         
        From www.sciencephoto.com 
                    CreutzfeldtJakob disease, MRI scan Stock Image C040/3210 Science Creutzfeldt Jakob Disease Rad  This condition belongs to a group of. The clinical syndrome, especially with the rapid cognitive deterioration, the typical mri pattern and. Creutzfeldt Jakob Disease Rad.
     
    
         
        From www.cureus.com 
                    Cureus Sporadic CreutzfeldtJakob Disease Case Report and Literature Creutzfeldt Jakob Disease Rad  This condition belongs to a group of. The clinical syndrome, especially with the rapid cognitive deterioration, the typical mri pattern and. Creutzfeldt Jakob Disease Rad.
     
    
         
        From radiopaedia.org 
                    CreutzfeldtJakob disease Image Creutzfeldt Jakob Disease Rad  The clinical syndrome, especially with the rapid cognitive deterioration, the typical mri pattern and. This condition belongs to a group of. Creutzfeldt Jakob Disease Rad.
     
    
         
        From www.frontiersin.org 
                    Frontiers Case Report Extremely Early Detection of Preclinical Creutzfeldt Jakob Disease Rad  The clinical syndrome, especially with the rapid cognitive deterioration, the typical mri pattern and. This condition belongs to a group of. Creutzfeldt Jakob Disease Rad.
     
    
         
        From www.aerzteblatt.de 
                    Cortical Signal Changes in CreutzfeldtJakob Disease (07.10.2022) Creutzfeldt Jakob Disease Rad  The clinical syndrome, especially with the rapid cognitive deterioration, the typical mri pattern and. This condition belongs to a group of. Creutzfeldt Jakob Disease Rad.
     
    
         
        From www.pinterest.com 
                    CreutzfeldtJakob disease (CJD) (A & B) Sporadic CJD showing Creutzfeldt Jakob Disease Rad  This condition belongs to a group of. The clinical syndrome, especially with the rapid cognitive deterioration, the typical mri pattern and. Creutzfeldt Jakob Disease Rad.
     
    
         
        From www.alamy.com 
                    CREUTZFELDT JAKOB DISEASE, MRI Stock Photo Alamy Creutzfeldt Jakob Disease Rad  This condition belongs to a group of. The clinical syndrome, especially with the rapid cognitive deterioration, the typical mri pattern and. Creutzfeldt Jakob Disease Rad.
     
    
         
        From radiologykey.com 
                    CreutzfeldtJakob Disease Radiology Key Creutzfeldt Jakob Disease Rad  The clinical syndrome, especially with the rapid cognitive deterioration, the typical mri pattern and. This condition belongs to a group of. Creutzfeldt Jakob Disease Rad.
     
    
         
        From www.viviennebalonwu.com 
                    CreutzfeldtJakob Disease, CJD Health And Medical Information Creutzfeldt Jakob Disease Rad  This condition belongs to a group of. The clinical syndrome, especially with the rapid cognitive deterioration, the typical mri pattern and. Creutzfeldt Jakob Disease Rad.
     
    
         
        From pubs.rsna.org 
                    Imaging of CreutzfeldtJakob Disease Imaging Patterns and Their Creutzfeldt Jakob Disease Rad  This condition belongs to a group of. The clinical syndrome, especially with the rapid cognitive deterioration, the typical mri pattern and. Creutzfeldt Jakob Disease Rad.
     
    
         
        From pubs.rsna.org 
                    Imaging of CreutzfeldtJakob Disease Imaging Patterns and Their Creutzfeldt Jakob Disease Rad  This condition belongs to a group of. The clinical syndrome, especially with the rapid cognitive deterioration, the typical mri pattern and. Creutzfeldt Jakob Disease Rad.
     
    
         
        From pubs.rsna.org 
                    Imaging of CreutzfeldtJakob Disease Imaging Patterns and Their Creutzfeldt Jakob Disease Rad  This condition belongs to a group of. The clinical syndrome, especially with the rapid cognitive deterioration, the typical mri pattern and. Creutzfeldt Jakob Disease Rad.
     
    
         
        From www.thelancet.com 
                    Biomarkers and diagnostic guidelines for sporadic CreutzfeldtJakob Creutzfeldt Jakob Disease Rad  The clinical syndrome, especially with the rapid cognitive deterioration, the typical mri pattern and. This condition belongs to a group of. Creutzfeldt Jakob Disease Rad.
     
    
         
        From www.cureus.com 
                    Cureus Imaging Manifestations of CreutzfeldtJakob Disease and Case Creutzfeldt Jakob Disease Rad  The clinical syndrome, especially with the rapid cognitive deterioration, the typical mri pattern and. This condition belongs to a group of. Creutzfeldt Jakob Disease Rad.
     
    
         
        From www.tamingthesru.com 
                    Annals of BPod CreutzfeldtJakob Disease — Taming the SRU Creutzfeldt Jakob Disease Rad  The clinical syndrome, especially with the rapid cognitive deterioration, the typical mri pattern and. This condition belongs to a group of. Creutzfeldt Jakob Disease Rad.
     
    
         
        From www.cureus.com 
                    Cureus Imaging Manifestations of CreutzfeldtJakob Disease and Case Creutzfeldt Jakob Disease Rad  This condition belongs to a group of. The clinical syndrome, especially with the rapid cognitive deterioration, the typical mri pattern and. Creutzfeldt Jakob Disease Rad.
     
    
         
        From www.eurorad.org 
                    CJD and MRI typical imaging findings in a sporadic form of Creutzfeldt Creutzfeldt Jakob Disease Rad  The clinical syndrome, especially with the rapid cognitive deterioration, the typical mri pattern and. This condition belongs to a group of. Creutzfeldt Jakob Disease Rad.